Kontakt

Vorher-Nachher-Galerie

Unser Ziel ist es, Ihr Lächeln zu verschönern. Entdecken Sie unsere Beispiele erfolgreicher Behandlungen.

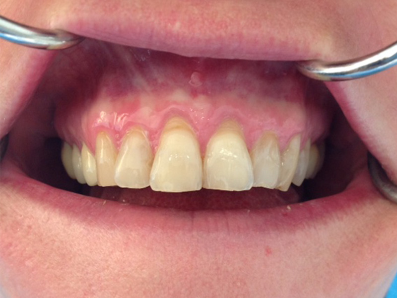
Vier Frontzahnimplantate

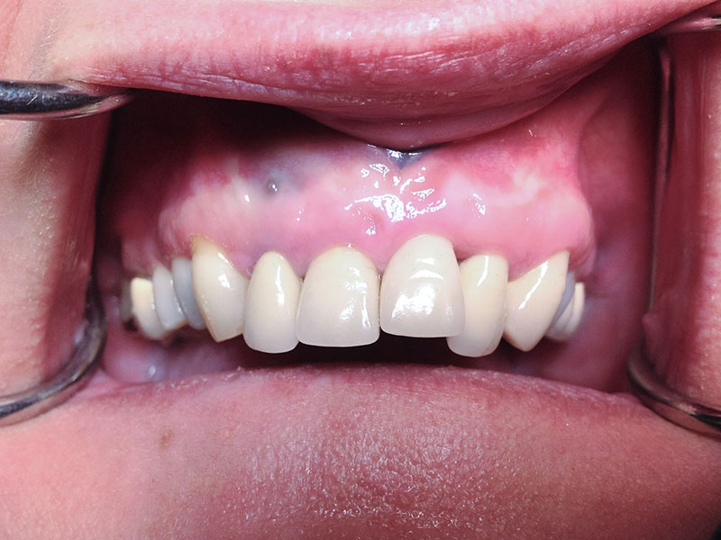
Frontzahn-Einzelimplantat

Herausnehmbare Brücken auf Implantaten

Implantatabgestützte herausnehmbare Brücke (Ober- und Unterkiefer)

Implantate für zahnlosen Unterkiefer

Implantate für zahnlosen Oberkiefer

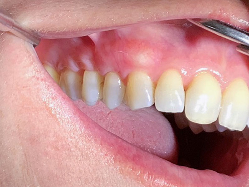
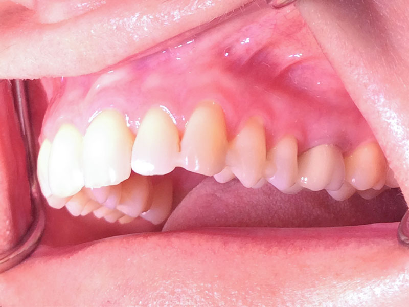
Zahnfleischrückgang (Rezessionen) Unterkiefer / Frontzähne

Zahnfleischrückgang (Rezessionen) Oberkiefer / Frontzähne

Zahnfleischrückgang Seitenzähne links

Zahnfleischrückgang Seitenzähne rechts

Nichtanlagen der seitlichen Schneidezähne